This ray of light is Aurora!
For many years, she did not like the spaces between her teeth, but fear kept her from starting treatment. She came in for a smile consultation with Dr. Fryer last year where he addressed those concerns so that Aurora would not be afraid. Dr. Fryer told her that those spaces probably became more pronounced due to some gum issues. Resolving those issues and then starting PowerProx Six Month Braces would allow her to have a healthy mouth without those spaces.
Here is her before picture. You can easily see the spacing issues on her top teeth.

Now, we have to admit that although this process is exciting for the patient, it’s also really exciting for those of us who work here! We get to see big changes in the patient’s smile at each monthly PowerProx visit. It makes it MORE fun for us when we have a patient who takes her treatment seriously, who follows directions perfectly, and who comes in with a big smile every time, like Aurora did!
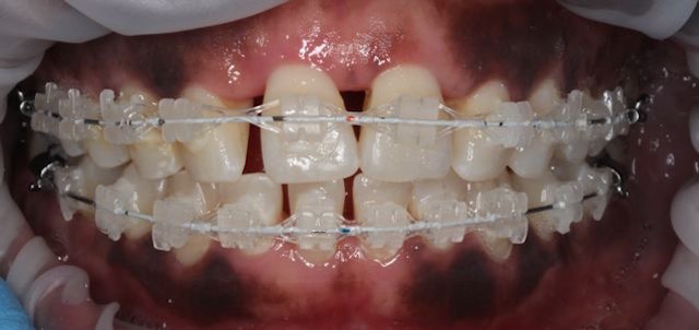
Here is a mid-treatment photo of her clear braces working their magic!
We were really happy with her results and Aurora is thrilled with her “delicious” smile now, too!









