This red headed beauty is Kellie!
Kellie really wanted a straight smile because she was having a hard time keeping her teeth clean. See? When teeth are crooked, it becomes difficult to reach them when brushing and flossing. We all know what happens when teeth aren’t kept clean, and Kellie did not want to ruin any teeth!
See her close up before pic? It was nearly impossible for her to reach that one tooth one the bottom because it was blocked by the teeth next to it.
Kellie visited Dr. Fryer’s Mayfield Heights office and together they decided on Powerprox Six Month Braces to give her a straight smile quickly. The purpose of PowerProx Six Month Braces is to give adult patients a straight smile easily and in a short amount of time.
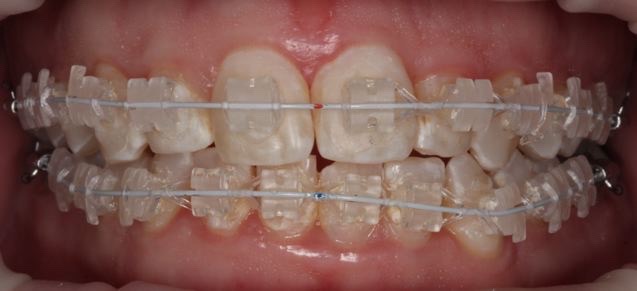
Here’s a pic of Kellie mid-treatment. See those clear brackets? Powerprox Six Month Braces are clear braces that aren’t very noticeable from a distance-something that adults appreciate.
Now that her braces are off, take a look at that one lower tooth again. It’s so much easier for Kellie to keep her teeth clean now that they are straight!
Doesn’t she look great?!












