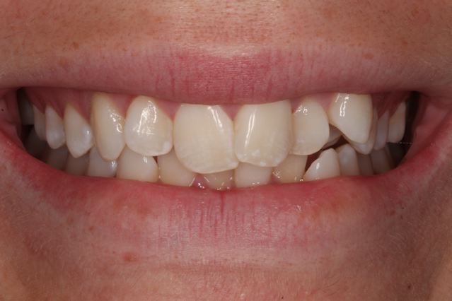
When we met Alisha last year, she was a 21 year old Cleveland State college student who wanted straight teeth.
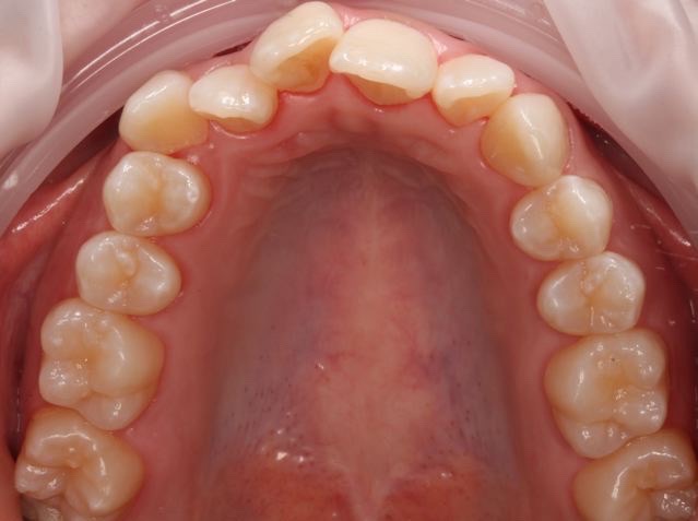
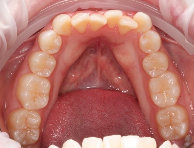
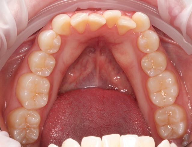
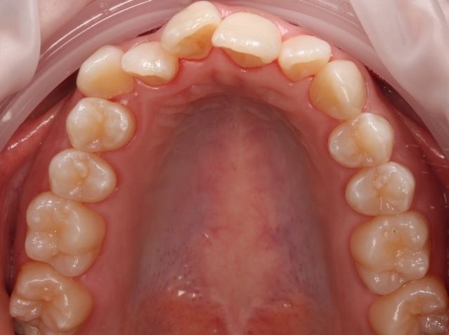
Here are some photos of Alisha right before we started her Powerprox Six Month Braces.
After talking with Alisha, we learned that she wanted to straighten her teeth at age 16, but the cost of braces was too much for her family then. Lucky for Alisha, our Mayfield Heights office not only offers Powerprox Six Month Braces, a fast way to straighten an adult’s cooked teeth, but we also offer an in house dental plan to help with the cost AND monthly payments through Care Credit Financing!
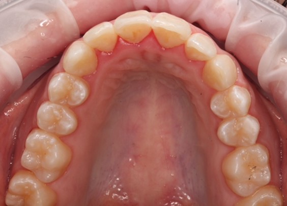
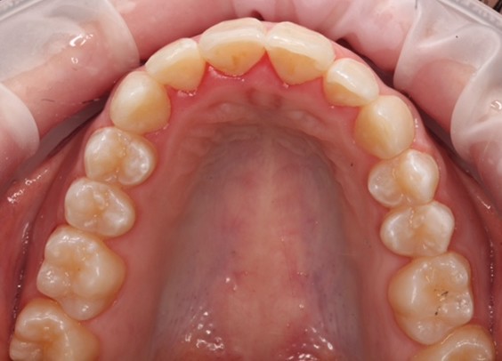
We started Alisha’s Powerprox Six Month Braces on September 1 2015 and removed those clear braces about 8 months later. Take a look at these life changing results! Alisha was THRILLED with the results and so were we. Not only does Alisha have a gorgeous smile, but she also just graduated from college and so she’s camera ready for the next phase of her life.
The moral of this story is that it IS possible to get the smile you’ve always wanted in a quick and affordable way!














